Behandlungsbeispiele - Vorher / Nachher Vergleiche

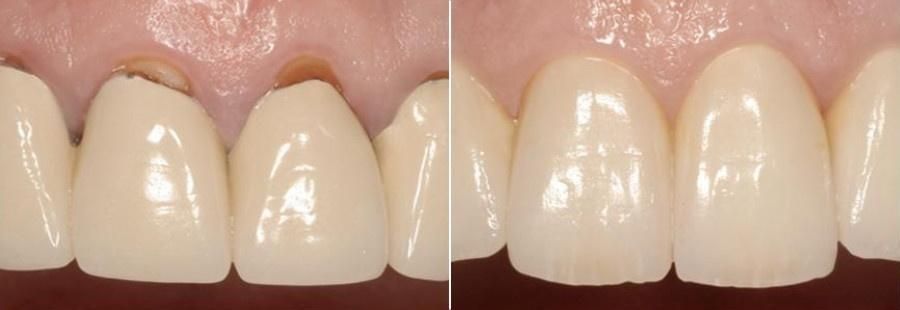
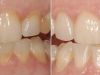
BEHANDLUNGSBEISPIEL 01
Bild links:
Nach der Eingliederung der Keramikschalen (Veneers) auf den beiden mittleren Schneidezähnen störten die Patientin die unschönen Zahnhalsfüllungen sowie die durch Abrasion deformierten seitlichen Schneidezähne und Eckzähne.
Bild rechts:
Die nun eingegliederten Veneers stellen die natürliche Ästhetik der Frontzähne dauerhaft wieder her.

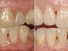
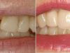
BEHANDLUNGSBEISPIEL 02
Detailaufnahme der Veneerversorgung der Frontzähne mit absolut unsichtbarem Übergang von Keramik zu Zahnsubstanz und gesundem Zahnfleisch. Die unteren Schneidezähne wurden lediglich poliert und gebleicht.

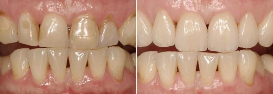
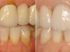
BEHANDLUNGSBEISPIEL 03
Bild links:
Unpräzise Kronenränder führen zu Zahnfleischentzündung und -rückgang. Die dunklen Metallränder stören die Ästhetik.
Bild rechts:
Die neuen Kronen sind im Randbereich metallfrei. Die hohe Fertigungspräzision ist Voraussetzung für gesundes Zahnfleisch.

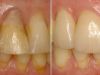
BEHANDLUNGSBEISPIEL 04
Bild links:
Viele Reparaturen mit verfärbtem Kunststoff sowie die durch Abrasion veränderte Zahnform beeinträchtigen das ästhetische Erscheinungsbild der Zähne.
Bild rechts:
Durch die Eingliederung von Keramikschalen (Veneers) auf den oberen Frontzähnen wird ein harmonisches Zahnbild zurückgewonnen.

BEHANDLUNGSBEISPIEL 05
Die freiliegenden Kronenränder sowie die in Länge und Form „beliebige“ Gestaltung der Kronen verursachen ein unruhiges Zahnbild. Die neuen keramischen Kronen auf den Schneidezähnen im Oberkiefer folgen ästhetischen Richtlinien und führen zu einem harmonischen Ergebnis.

BEHANDLUNGSBEISPIEL 06
Bild links:
Infolge eines Unfalls abgebrochene mittlere Schneidezähne.
Bild rechts:
Restauration der frakturierten Zähne mit Veneers.

BEHANDLUNGSBEISPIEL 07

BEHANDLUNGSBEISPIEL 08
Bild links:
Jugendliche Patientin mit infolge eines Sturzes abgestorbenem und verfärbtem rechten Schneidezahn.
Bild rechts:
Nach der Revision der Wurzelfüllung erhielt der Zahn durch Bleichen seine ursprüngliche Farbe zurück. Eine Überkronung wurde so vermieden.

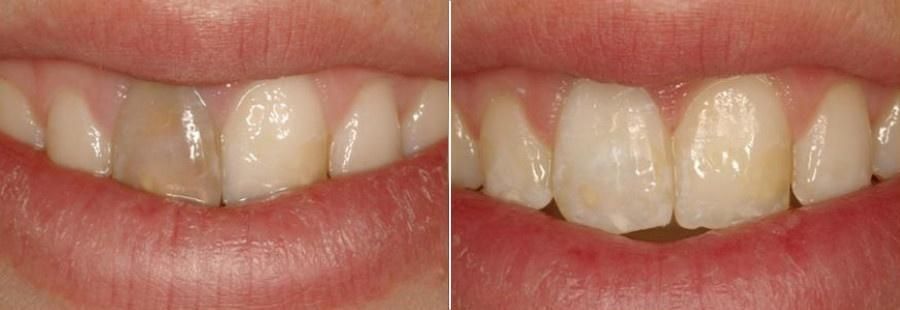
BEHANDLUNGSBEISPIEL 09
Bild links:
Umfangreiche verfärbte Restaurationen mit Kunststoff sowie zu lange Zähne und die ungünstige Zahnform stören die Patientin.
Bild rechts:
Mit Keramikschalen (Veneers) wurde ein kleinerer Zahnbogen mit kürzeren Zähnen gestaltet. Die neue Zahnform schließt die dunklen Bereiche zwischen den Zähnen.

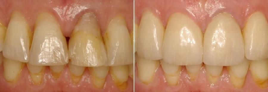
BEHANDLUNGSBEISPIEL 10
Bild links:
Die Fehlstellung des linken oberen Schneidezahns verursacht ein dunkles Dreieck im Zahnhalsbereich. Die in Relation zu den Eckzähnen zu kurzen Schneidezähne ergeben einen umgekehrten und damit unästhetischen Schneidekantenverlauf.
Bild rechts:
Die eingegliederten Keramikschalen (Veneers) rekonstruieren die ästhetischen Parameter und harmonisieren das Zahnbild.

BEHANDLUNGSBEISPIEL 11
Detailaufnahmen zu den vorherigen Bildern, die die Stellungskorrektur des linken Schneidezahn verdeutlichen.










